Siga a dica #13 Carcinoma basocelular com diferenciação triquilemal

O carcinoma basocelular é uma neoplasia epitelial maligna com diferenciação para uma estrutura embrionária – o tricoblasto – que dá origem a todo o folículo pilo-sebáceo-apócrino durante o desenvolvimento fetal. Por isso, tem como sinonímia o termo carcinoma tricoblástico, que, apesar de etimologicamente mais correto, não conseguiu substituir a designação clássica, há muito consagrada pelo uso.
Siga a dica #12 Nevos melanocíticos com espaços pseudovasculares

Os nevos melanocíticos intradérmicos ou compostos apresentam ocasionalmente espaços ou fendas em meio a proliferação celular presente na derme que simulam bastante vasos linfáticos ou sanguíneos, sendo denominados espaços pseudovasculares, fendas pseudovasculares ou padrão pseudo-Dabska.
Siga a dica #11 Fibrose cicatricial, esclerose e desmoplasia. Entenda as diferenças entre estas alterações histopatológicas.

O domínio dos aspectos histológicos (anatomia microscópica) e da embriologia da pele é uma etapa essencial para o desenvolvimento pleno do estudante na dermatopatologia, tanto no diagnóstico das doenças inflamatórias, quanto das neoplásicas.
Siga a dica #10 Seja extremamente cuidadoso na avaliação de cortes histológicos provenientes de curetagem de lesões pigmentadas!

O domínio dos aspectos histológicos (anatomia microscópica) e da embriologia da pele é uma etapa essencial para o desenvolvimento pleno do estudante na dermatopatologia, tanto no diagnóstico das doenças inflamatórias, quanto das neoplásicas.
Siga a dica #9 As semelhanças entre os corpúsculos de Meissner e o Schwannoma. Um pequeno exemplo entre tantos para a compreensão do conceito de diferenciação e de como as neoplasias são classificadas.

O domínio dos aspectos histológicos (anatomia microscópica) e da embriologia da pele é uma etapa essencial para o desenvolvimento pleno do estudante na dermatopatologia, tanto no diagnóstico das doenças inflamatórias, quanto das neoplásicas.
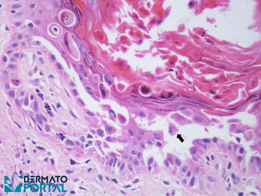
Siga a dica #8 Entenda o que é diferenciação triquilemal. E por que alguns dos seus usos corriqueiros são inadequados e impedem a correta compreensão do processo patológico

O termo triquilema deriva etimologicamente das palavras do grego thrix ou trikhos que significam pelo ou cabelo e lepein que significa descascar. A palavra lepein deu origem a palavra lemma da língua inglesa, que em botânica é usada para designar “a bráctea inferior da inflorecência”. Ou seja, uma espécie estrutura de proteção semelhante a uma folha localizada ao redor e abaixo da estrutura a ser protegida, geralmente a flor.
Siga a dica #7 Margens livres, mas com fibrose cicatricial se estendendo aos limites cirúrgicos. Devo me preocupar?

O padrão ouro para o tratamento do carcinoma basocelular é a excisão cirúrgica com margens livres. Com certa frequência, recebemos peças cirúrgicas de excisão de tumores nas quais as massas neoplásicas estão bastante distantes das margens, mas uma área de fibrose cicatricial se estende aos limites cirúrgicos.
Siga a dica #6 Ceratoacantoma em Regressão.

Como vimos no siga a dica #4, o carcinoma basocelular é uma neoplasia maligna epitelial, com diferenciação folicular germinativa, que apresenta em geral um estroma frouxo, rico em mucina.
Siga a dica #5 Carcinoma Basocelular Nódulo-Cístico

Como vimos no siga a dica #4, o carcinoma basocelular é uma neoplasia maligna epitelial, com diferenciação folicular germinativa, que apresenta em geral um estroma frouxo, rico em mucina.
Siga a Dica #4 fendas dérmicas do carcinoma basocelular

O carcinoma basocelular é uma neoplasia maligna epitelial cuja diferenciação se dá em direção a uma estrutura encontrada apenas durante o desenvolvimento fetal, denominada broto epitelial primário ou tricoblasto.
Siga a dica #3 Pink & Blue e a lamela cornoide

O padrão pink & blue da ceratose actínica se forma quando temos uma camada córnea predominantemente paraceratótica (eosinofílica/rosa), entrecortada por colunas verticais de ortoceratose (basofílicas/azuis) dispostas sobre os óstios dos infundíbulos foliculares e dos acrossiringes
Siga a dica #2 Disqueratose acantolítica X hiperceratose epidermolítica

A pele apresenta um grande numero de alterações patológicas. Algumas são simples, outras mais complexas. Existem alguns conjuntos de alterações histopatológicas que formam um “padrão histopatológico”.